あなたの環境ではスクリプトが実行されていません。
いだ歯科クリニックは歯ぐきにピッタリとフィットする入れ歯としっかり噛めるブリッジの製作を提供しています
東京都江東区大島6-22-7
都営地下鉄新宿線「大島」駅より徒歩5分
診療科目/内容:虫歯治療/歯周病治療/義歯・ブリッジ治療/小児歯科/歯科口腔外科/予防/インプラント/審美/ホワイトニング
◆トップページ
◆歯科スタッフ
◆医院案内/アクセス
◆医院設備/安全対策
◆虫歯治療
◆歯周病治療
◆入れ歯/ブリッジ
◆小児歯科
◆歯の予防
◆インプラント
◆審美的治療
◆ホワイトニング
モバイルサイト
https://ida-dc.com/i/
[ガラケー向け]
https://ida-dc.com/sp/
[スマホ向け]
トップページ
>
入れ歯/ブリッジ
虫歯や歯周病、怪我などで歯が抜けてしまった部分は、ご自身の歯の変わりに人工的な補綴物(ほてつぶつ)で補う必要があります。
機能性を考えると、
インプラント
が最もよい治療法ですが、自費治療となるため「入れ歯」や「ブリッジ」の治療が一般的です。
ところで「入れ歯」や「ブリッジ」の違いですが、「入れ歯」は取り外し式(インプラント義歯は除く)で「ブリッジ」は固定式(取り外しができない)の物を言います。
また「入れ歯」や「ブリッジ」は一般的に健康保険で作れますが、保険のは必要最小限の機能回復を目的として製作されるため、使用する材料やデザイン等に制限があるため、よりよい審美性や装着感、しっかり噛みたいとご希望の方向きに、より良い素材を使った自費のものも提供しています(右はチタン床義歯)。
なお、当院では大変好評な歯ぐきにピッタリとフィットして固定金具の無い「ソフト義歯」も取り扱っております。
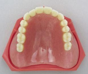
入れ歯について
≪左:総入れ歯/右:部分入れ歯≫
入れ歯には、自分の歯が一本もない方向けの「総入れ歯」と、歯の一部が欠損したためにそれを補う「部分入れ歯」の2種類に分かれます。
また使用する素材よって、健康保険適合のものと自費のものとに分かれます。
≪左:自費の金属床/右:保険のレジン床≫
●保険の場合
入れ歯本体の材質はプラスチックが主体のため、強度確保のためにかなりの厚みがあります。
その結果、違和感、発音のしにくさ、食事時に熱が伝わりにくい等が起こります。
●自費の場合
薄い金属の使用によりこれらの欠点を減らすことができ、会話がスムーズになり、食事の感覚も得られ、一体感や装着感は向上します。また十分な強度があり撓(たわ)みも少ないので、残っている歯にも優しく咬み合わせの保全にも役立ちます。
ブリッジについて
歯が少数本(1~2本程度)欠損(抜けている)している場合は、その両隣りの歯を削って土台として、固定式のブリッジによって補います。
固定式のブリッジには、抜けてる歯の本数や残ってる歯の場所、材質により保険でできるものと保険適合のものと自費のものがあります(右は自費の白いブリッジ)。
Page-Top▲
IDA DENTAl CLINIC. All Rights Reserved. Copyright(c)
いだ歯科クリニック
〒136-0072 東京都江東区大島6-22-7
TEL03-5875-0768
トップページ
|
歯科スタッフ
|
医院案内/アクセス
|
医院設備/安全対策
虫歯治療
|
歯周病治療
|
入れ歯/ブリッジ
|
小児歯科
|
歯の予防
|
インプラント
|
審美的治療
|
ホワイトニング